About this project

Explore the people, research centres and partner organisations behind this project.

Get in touch

Contact SPARC to discuss facilities, partnerships, doctoral research and more

Contact us

Cardiovascular disease

The cardiovascular disease research theme, led by Dr Simon Nichols, conducts research into the causes, and treatment, of patients with cardiovascular disease

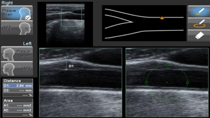
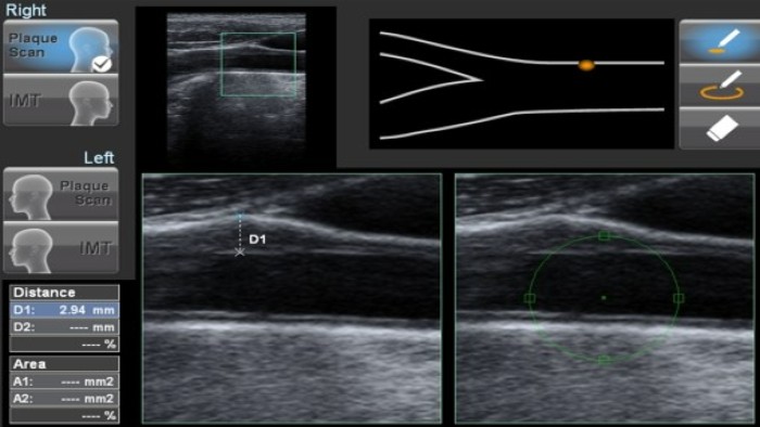
Specialist software and ultrasound imaging from the Cardiovascular research

Cardiovascular disease is a leading cause of death in the UK, and worldwide. Our cardiovascular disease research group is one of the largest research themes within PAWPH and has a number of ongoing research projects.

Cardiac Rehabilitation

OSPREY-CR

OSPREY-CR is a multicentre study, funded by AstraZeneca, that aims to co-redesign cardiac rehabilitation, informed by investigations that explore the reasons underpinning patient adherence to, and attrition from early cardiac rehabilitation, which aspects of CR patients believe are important for improving health-related quality of life, and a formal co-design workshop.

FARSTER

Funded by the National Institute for Health Research, FARSTER is a multi-centre, randomised controlled trial, investigating the feasibility of providing exercise-based cardiac rehabilitation to patients recovering from coronary artery bypass grafts or cardiac valve surgery, three weeks after being discharged from hospital.

Activ8-1

Activ8-1 is funded by the Advanced Wellbeing Research Centre Accelerator Programme. This cohort study is investigating the effects of a novel, home-based, technology platform, on patient activation, in patients participating in exercise-based cardiac rehabilitation.

CARE CR

This is a single centre study, partially funded by the Hull and East Riding Cardiac Trust Fund. It is investigating the cardiovascular and cardiorespiratory adaptations to routine exercise-based cardiac rehabilitation, in the UK.

HIITorMISS UK

This multicentre, randomised controlled trial is investigating the effect of high-intensity interval training, versus moderate-intensity steady-state training, in UK cardiac rehabilitation programmes. It is the first fully powered UK study to investigate the effect of high intensity interval training on cardiorespiratory fitness, when delivered in a routine healthcare setting.

ECLIPSE

This projects aims to test the feasibility of a trial of adding protein and leucine supplementation to exercise-based cardiac rehabilitation, to treat sarcopenia in patients with chronic heart failure.

Stroke Rehabilitation

ESCAPE 1

ESCAPE 1 is a proof of concept study, funded by the Creating Knowledge and Innovation Platform Fund. The study aims to assess whether low to moderate intensity aerobic exercise increases perfusion of the brain, assessed using MRI scanning and transcranial Doppler measurements, two to five days after an ischaemic stroke.

ATAS

This study investigates the feasibility of delivering an aerobic exercise intervention, two to five days after a patient suffers an ischaemic stroke, to improve stroke outcomes. The study also aims to identify a primary outcomes for a subsequent definitive RCT, and develop mechanistic understanding of the intervention.

RICFAST 1

Funded by Sheffield Teaching Hospitals NHS Foundation Trust, RICFAST 1 investigates the feasibility of undertaking a randomised control trial of remote ischaemic conditioning to reduce fatigue and enhance the physical performance, in patients undergoing rehabilitation following stroke.

Funding partners


About this project

Explore the people, research centres and partner organisations behind this project.

Get in touch

Contact SPARC to discuss facilities, partnerships, doctoral research and more

Contact us

Research team